2022-08-09 10:05:39 Views:1645
The C-arm plays an important role in surgical clinical operations and is known as the "eye of surgery". It provides accurate preoperative measures for orthopedic internal fixation, joint replacement, and vertebroplasty for thoracolumbar compression fractures. Positioning, intraoperative fluoroscopic observation, postoperative recovery observation and other functions.
The conventional C-arm is composed of a host computer and a workstation trolley. The signal transmission between the two is carried out through a signal cable. It is laborious to move in actual use. At the same time, the communication distance between the two is limited by the length of the cable. , there are also many inconveniences in clinical use.
In order to solve the technical problems of limited communication distance and inconvenient movement of the existing split C-arm, some leading digital medical imaging equipment manufacturers have adopted integrated technology, combining the traditional C-arm host and workstation trolley into two. One, the one-piece C-arm was introduced.
At the same time, some people have also raised related questions, "Is the integrated C-arm good?", "Is the C-arm an integrated or split type?". In fact, both the split type and the one-piece type have their own advantages, and it is best to choose the one that suits you.
Application advantages of one-piece C-arm:

1. The integrated rack design allows the equipment to cover an area of only about one square meter, which can adapt to various crowded and complex surgical environments and save surgical space;
2. The movement of the equipment is more flexible and light, and one person can easily implement the machine transition. With the power-off standby function, one equipment can be used in multiple operating rooms;
3. Without the constraints of workstations, the safety hazards and expensive maintenance costs caused by messy cables in the operating room are avoided.
4. The all-in-one machine structure is a high-end model. At present, there are only a handful of manufacturers in the domestic and international market, which improves the influence and popularity of the hospital.

Application advantages of split C-arm:
1. The split structure design is convenient for the control of the equipment compartment, which can not only meet the clinical application requirements, but also be suitable for teaching and research scenarios, so as to avoid unnecessary radiation absorption when the user operates near the table.
2. The workstation is equipped with a medical display screen and an exposure foot switch. The equipment is also equipped with a medical display and a hand-held controller. The equipment can be controlled indoors and outdoors, preventing doctors from frequently entering and leaving the exposure room to adjust the equipment and improving work efficiency.
I believe that many dealers and hospitals will be entangled between the integrated type and the split type. They want to buy an integrated type, but they are worried that the performance of the integrated type is not as good as the split type; but they want to buy a split type, but feel that the split type is not as convenient as the integrated type. Well done. So, what is the clinical imaging effect of the integrated C-arm?
Case 1:
The patient suffered from accidental fall, back pain after injury, and compression fracture of the lumbar 2 vertebrae, so he was treated with "pedicle screw internal fixation". The pedicle screw can be penetrated from the back of the vertebral body to the front of the vertebral body to achieve three-column fixation of the vertebral body. However, during the operation, it is necessary to operate on the multi-segmented cone, so the image is required to show the entire lumbar spine as much as possible.
Puai Medical's PLX119C large flat-panel integrated C-arm uses a 30CM×30CM flat-panel detector, which can generally image 5 lumbar vertebrae at one time, presenting a wider field of view. It enables the doctor to comprehensively observe the injured vertebra and the surrounding vertebral body at one time, which makes the operation more efficient and more accurate.

Case 2:
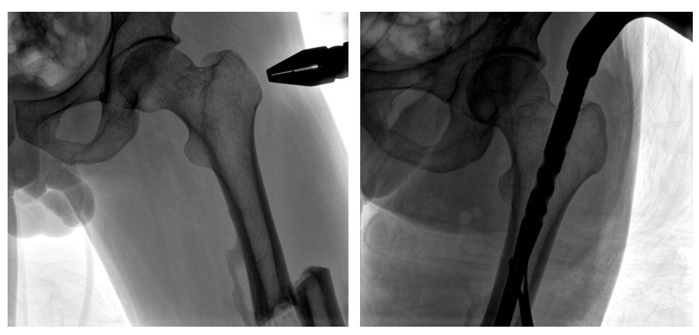
The patient had a complete fracture of the left femoral shaft, which was treated with "intramedullary nailing and internal fixation" after evaluation by the doctor. Intramedullary nail fixation needs to fully display the image from the nail insertion point to the fracture site. In some long bone fractures, the field of view is required to be high.

When performing intramedullary nail fixation, the doctor needs to observe the nail entry point and the fracture site at the same time. The PLX119C large flat-panel integrated C-arm can present a wider imaging area, which is suitable for most long intramedullary nail fixation. photography needs.
In conclusion, the large-plate integrated C-arm can obtain a larger field of view and a clearer image of the fracture site in orthopaedic surgical treatment of spine and long bone fractures, which can help doctors to understand and evaluate the alignment and evaluation of the fracture site in time during surgery. Alignment, and can measure length and angle, providing strong support for further improving the quality of surgery
A Decade of Dedication, Echoing in the Market Again | Perlove Medical’s C-arms Deployed in Three Major Regional Hospitals in Bangladesh
Read More »2026 Innovate Together, Grow Further丨Perlove Medical International Distributor Promotion Conference
Read More »PERLOVE MEDICAL at ECR 2026 | Advancing Radiology Innovation in Vienna
Read More »Perlove Medical at ECR 2026: Showcasing Cutting-Edge Imaging Solutions in Vienna
Read More »🌍 Elevating Global Healthcare | WHX Dubai 2026 Successfully Concluded
Read More »Join Us at ARAB HEALTH 2026 | See You in Dubai
Read More »