2022-08-18 17:01:25 Views:1947
Intractable dysuria has always been a big mountain in front of urologists and patients. Some patients present with frequent urination and urgency, or even urge incontinence, while some patients present with dysuria, unable to control urination voluntarily, which seriously affects the quality of life. Recently, Director Wei Zhongqing of the Second Affiliated Hospital of Southern Medical University led his team to perform sacral neuromodulation surgery for a 59-year-old patient under the guidance of Perlove Medical's large flat-panel integrated mobile C-arm image, which has successfully improved the patient for many years. Symptoms of frequent urination.
Case name: Sacral neuromodulation
Operating unit: The Second Affiliated Hospital of Nanjing Medical University
Patient age: 59 years old
Patient's gender: male
The patient was diagnosed with overactive bladder (OAB) two years ago and presented with symptoms such as severe urinary frequency, urgency, and fine lines in urine. The doctor performed sacral neuromodulation surgery for him. Recently, the patient's symptoms began to worsen again, and the quality of life was affected. In order to relieve symptoms and improve life, the patient went to the Second Affiliated Hospital of Southern Medical University for treatment. After examining the patient's condition, Director Wei Zhongqing and his team decided to readjust the electrode stimulation position, changing the stimulation point from the original left sacral 4 nerve foramen to the sacral 3 nerve foramen, and the symptoms were successfully improved through new neuromodulation.

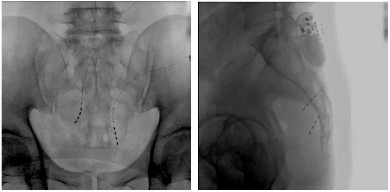
Preoperative imaging of the patient

Intraoperative image of large flat-panel integrated mobile C-arm
Overactive Bladder (OAB)
Overactive bladder (OAB) refers to a series of urinary abnormalities caused by involuntary contraction of the detrusor muscle (DO) during urination. The International Continence Society (ICS) defines OAB as: Urgency to urinate, usually with increased daytime frequency and/or nocturia, in the absence of urinary tract infection or other detectable disease, with urinary incontinence (wet urine) or no urinary incontinence (dry urine).

Depending on the cause and degree of OAB, behavior modification can be used, such as reducing caffeine intake and increasing pelvic floor muscle training; it can be drug treatment, such as taking antimuscarinic drugs including mirabegron, etc. . Severe OAB can also be treated with neuromodulation techniques, such as percutaneous tibial nerve stimulation (PTNS) or sacral neuromodulation (SNM).
About Sacral Neuromodulation (SNM)
In sacral neuromodulation or sacral nerve stimulation (SNS), the physician first inserts electrodes into the sacral foramen 3 through a guide needle under fluoroscopic guidance, and stimulates the nerve fibers and inhibits the detrusor through the stimulation of pulse currents. shrink. In this step, the doctor will first test and evaluate the patient's nerve stimulation response. If the stimulation effect is obvious, it means that the plan can meet the surgical expectations. Next, the doctor will implant a pulse current generator in the nearby subcutaneous fat and connect it to the electrode, so that this part can be stimulated for a long time in the future and improve the symptoms of OAB.

SNM technology is a minimally invasive treatment method with short operation time and patients only need to receive local anesthesia. The technique has now been proven effective in more than 40 studies. The vast majority of studies show that the use of SNM can successfully improve at least 50% of OAB symptoms.
Perlove Medical Large Tablet Integrated Mobile C-arm

Application advantages in SNM
❖ The traditional 9-inch flat panel detector or image intensifier C-arm has a small imaging range. When performing guide wire positioning and observation, the fluoroscopic image with a large field of view cannot be presented due to the limitation of the operating bed. the efficiency of surgery. On the other hand, Puai Medical's large flat-panel integrated mobile C-arm is equipped with a 30cm x 30cm large flat-panel detector. The large imaging area makes up for the shooting difficulties caused by inconvenient positioning.
❖ Compared with the shadow-enhanced C-arm, the flat panel detector has less distortion in imaging, which can accurately reflect the positional relationship between the electrodes and the sacral foramen, and improve the expectation of surgical results.
*This article is for academic exchange only, please go to professional medical institutions for specific cases

PLX119C Large Flat Integrated C-arm
The integrated mobile C-arm of Perlove 's large flat-panel is put into use, which will provide reliable imaging support for operations in orthopedics, pain, neurosurgery, urology, interventional vascular surgery, hepatobiliary surgery and other professional fields, and escort more surgical patients.
A Decade of Dedication, Echoing in the Market Again | Perlove Medical’s C-arms Deployed in Three Major Regional Hospitals in Bangladesh
Read More »2026 Innovate Together, Grow Further丨Perlove Medical International Distributor Promotion Conference
Read More »PERLOVE MEDICAL at ECR 2026 | Advancing Radiology Innovation in Vienna
Read More »Perlove Medical at ECR 2026: Showcasing Cutting-Edge Imaging Solutions in Vienna
Read More »🌍 Elevating Global Healthcare | WHX Dubai 2026 Successfully Concluded
Read More »Join Us at ARAB HEALTH 2026 | See You in Dubai
Read More »