From traditional flat-panel C-arms to integrated C-arms with a Large FPD,
from 2D C-arms for interventions to 3D C-arms,
Perlove Medical's C-arms are trusted by pain management departments throughout China.
Today, let’s take a look at how Perlove Medical’s C-arm systems
meet the diverse clinical needs of pain management.
The pain management department, which specializes in treating conditions such as chronic pain and neuropathic pain, has surgical requirements that differ from those of traditional departments like orthopedics or general surgery.
Over 90% of pain management procedures are minimally invasive interventions — including needle knife therapy, radiofrequency ablation, ozone ablation, and nerve blocks. These operations are typically performed using puncture needles or catheters, with only a very limited surgical field exposed.
Because the lesion cannot be directly visualized, surgeons rely entirely on intraoperative imaging guidance to perform key steps such as puncture, drug delivery, and ablation. Therefore, high-quality intraoperative imaging plays a vital role in ensuring diagnostic precision and surgical accuracy.
■ 3D C-Arm: The Assistant in Complex Pain Management
Perlove Medical’s flat-panel 3D C-arm has been introduced to the Pain Management Department of Yueyang People’s Hospital, empowering the hospital to perform advanced procedures such as intrathecal morphine pump implantation, spinal cord stimulation, nerve root block for lumbar disc herniation, trigeminal ganglion balloon compression, and peripheral nerve repair for diabetic foot.


Given that the primary targets in pain management procedures, such as nerves, spinal discs, and joint capsule, are deep-seated and often adjacent to critical structures like blood vessels and nerve roots, intraoperative 3D imaging is essential. It provides surgeons with a clear, three-dimensional view of the bony anatomy and deep tissue, significantly reducing the risk of nerve damage during puncture.


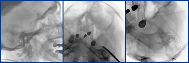
Radiofrequency Thermocoagulation of the Trigeminal Gasserian Ganglion

Radiofrequency Ablation of the Lumbar Dorsal Root Ganglion
Perlove Medical’s flat-panel 3D C-arm has been introduced to the Pain Management Department of Anning First People’s Hospital, supporting the development of spinal endoscopic surgery.

Spinal surgeries in pain management focus on neuromodulation, requiring precise planning of the puncture path while carefully avoiding blood vessels, nerve roots, and visceral structures.Given the complex anatomy of nerves and blood vessels surrounding the spine, the inherent superimposition of structures in conventional 2D imaging may cause misinterpretation.
The 3D C-arm can generate intraoperative three-dimensional spinal images and CT-like cross-sectional views, providing physicians with a more comprehensive perspective for observation and clinical diagnosis.

■ 5kW C-Arm: An Essential Equipment for Pain Management
Operating rooms often have confined spaces and need to accommodate auxiliary equipment such as ozone and radiofrequency machines. Perlove's mobile C-arm with FPD, with its compact design and high mobility, can be easily positioned and moved within these limited spaces, making it a standard configuration for any pain management department.


Integrated C-Arm with a Large FPD Assists Pain Management Department in Performing Spinal Cord Stimulation Implantation

Mobile Flat-Panel C-Arm Supports Trigeminal Ganglion Balloon Compression Surgery
■ Mobile C-Arm for Interventions: A “Reliable Assistant” for Pain Interventions
Perlove Medical’s mobile flat-panel interventional C-arm meets the needs of most interventional procedures. For complex pain treatments, such as vascular interventions and tumor-related pain management, its real-time dynamic imaging and wide field of view offer comprehensive intraoperative imaging support throughout the entire procedure.

■ Mobile Design for Flexibility and Convenience
The mobile design of Perlove Medical’s C-arms allows easy maneuvering around the operating table, avoiding collisions with commonly used pain management devices such as ozone generators and radiofrequency machines. Multi-dimensional motorized movements enable rapid positioning at various angles, adapting to pain treatments for the neck, lumbar region, and joints, effectively addressing the challenge of limited operating room space.
■ Multiple Radiation Protection
Isocentric scanning technology reduces repeated exposure, while the intelligent radiation-free field control system adjusts the exposure area according to different procedures, minimizing scatter and achieving optimal imaging at lower doses. Specifically designed for pain management’s “close-proximity operations and frequent repositioning,” the multi-level dose monitoring system ensures the safety of both patients and medical staff.
■ User-Friendly Operations
Multiple control panels display simultaneously; the intuitive graphical touch interface allows doctors to quickly set parameters; the medical-grade rotatable monitor provides multi-angle image observation; and the DICOM 3.0 interface enables seamless integration with hospital information systems, reducing data entry time. These thoughtful designs align with the pain department’s “fast-paced, high-precision” workflow, enhancing clinical efficiency.

With 22 years of technological expertise, Perlove Medical has continually advanced in 3D imaging, interventional imaging, low radiation dose, and lightweight design. Its C-arm systems provides pain management departments with a variety of intraoperative imaging solutions, transforming imaging technology into tangible clinical benefits. By supporting pain medicine, Perlove Medical helps safeguard patients’ hope for a pain-free life.
Correcting Limb Length Discrepancy | 3D C-arm Assisted Epiphysiodesis in Pediatric and Adolescent Patients
Read More »Perlove Medical Concludes a Successful Presence at RSNA 2025 in Chicago
Read More »Multiple C-arm Systems From Perlove Medical Installed at Zhujiang Hospital of Southern Medical University
Read More »Perlove Medical 3D C-arm Installed at Ningde City Hospital
Read More »Perlove Medical Debuts New Products at the 2025 Chinese Conference of Digestive Endoscopology
Read More »Perlove Medical to Showcase Innovative Imaging Solutions at RSNA 2025
Read More »